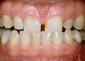
| > vorher
Sehr kleine und lückig stehende Zähne haben diese Frau schon lange gestört. Umfangreiche Füllungen störten zusätzlich den optischen Eindruck.
|
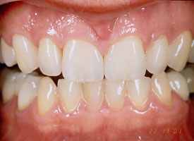
| > nachher
Durch einen mikrochirurgischen Minieingriff wurde zuerst die Form des Zahnfleischsaumes optimiert, damit die Zähne länger werden können. Mit sechs sehr dünnen Vollveneers konnte ein schönes Endergebniss erzielt werden.
|
 |  |
|
|