| > vorher
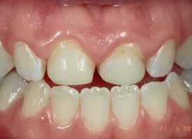
Beide oberen Schneidezähne wurden nach einem Unfall notdürftig mit Kunststoff angesetzt. Nach mehreren Jahren hat sich daraufhin auch das Zahnfleisch unschön verdickt.
|
| > nachher
Durch eine kleine Korrektur des Zahnfleischs und mit zwei Veneers konnte der jungen Patientin wieder ein strahlendes Lachen zurückgegeben werden.
|
 |  |
|
|