| > vorher
Durch abstehende Kronenränder und durch fehlerhaft verarbeitetes Metall unter der Keramik wurde eine starke Allergie ausgelöst. Diese zeigt sich durch starke Rötung und Schwellung des Zahnfleischs an den Kronenrändern.
|
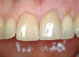
| > nachher
Nach Anfertigung von zwei langzeitprovisorischen Kronen heilte das Zahnfleisch ab. Danach war es möglich, zwei neue Vollkeramikkronen anzufertigen, die - wie man auf dem Bild erkennen kann - vom Körper biologisch akzeptiert werden.
|
 |  |
|
|