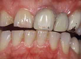
| > vorher
Ungleich lange Zähne, abgenützte Kronen und entzündetes Zahnfleisch machten eine Behandlung unumgänglich.
|
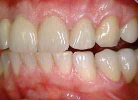
| > nachher
Durch neue Keramikkronen konnte ein harmonisches Bild erzeugt werden. Gleich lange Zähne und ein gesundes Zahnfleisch sorgen für ein stabiles Langzeitergebnis.
|
 |  |
|
|