Impressum    
  Datenschutz    
     
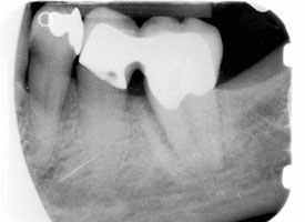
   vorher    nachher
> vorher
Auf dem Röntgenbild sieht man an der Vorderfläche des Zahnes einen tiefen Knochendefekt bis zur Wurzelspitze des Zahnes.

> nachher
Durch eine systematische Parodontalbehandlung und einem kleinen Eingriff, um den Knochen an dieser Stelle aufzubauen, konnte der Knochendefekt ganz eliminiert werden und dadurch der Zahn erhalten werden.