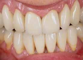
| > vorher
Auf dieser Aufnahme können Sie das stark gerötete Zahnfleisch sehen. Verursacht durch Parodontose und schlecht passende Kronen, klagte die Patientin immer wieder Zahnfleischbluten, trotz guter Mundhygiene.
|
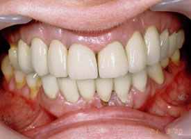
| > nachher
Durch eine systematische Parodontalbehandlung und neue exakt passende Kronen konnte die Zahnfleischerkrankung geheilt werden. Beachten Sie die gesunde rosa Farbe des Zahnfleisches bis in die Zahnfleischspitzen.
|
 |  |
|
|