Impressum
Datenschutz
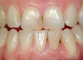
vorher
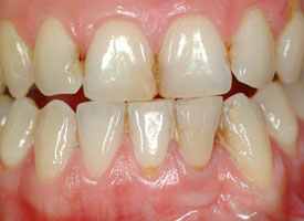
nachher
> vorher
Hier sehen Sie Zähne vor einer professionellen Zahnreinigung.
> nachher
Nach der Zahnreinigung zeigen die Zähne wieder Ihre eigene Farbe und Glanz.
Parodontologie
Mikrochirurgie
Prophylaxe
Beispiel 1
Funktionsdiagnostik
Implantate
Ästhetik